データ作成をもっと楽に…。造形のリスクをゼロに…。
医療業界向け 3D骨モデルデータ作成・造形サービスは、その時間を弊社へ委託する事によりその業務にかかる時間を他作業に活用することをご提案するサービスです。
データ作成・造形にかかる「その時間、有効活用しませんか?」
もう手間は要らない。
もう時間を無駄にしない。


「3D骨モデルデータ作成・造形サービス」は術前シミュレーションや患者様への説明等に様々な活用が出来る3Dモデルを弊社へ委託する事で手間と時間を外注化しその時間を自社の作業を行うことにより有効活用出来るサービスです。
現状、3Dデータ作成(加工処理)は手間と時間がかかり、また3D造形においては材料保管や環境などによる失敗のリスクがあります。
当サービスではDICOMデータをご送付頂くだけで「データ(STL)作成」と、LCD光造形方式3Dプリンターを用いた高精細・高強度な3Dモデルを造形する事が可能です。
※データ(STL)作成のみ、造形のみも承ります。
アーチファクト・ノイズ等 データ処理時間、手間を削減
造形ノウハウ不要で、高精細・高強度な3Dモデルを作製
ご注文の流れ

手術補助の目的(術前シミュレーション、患者説明など)で3D実物大立体モデルを用いた場合、
対象となる手術に保険点数が算定されます。
※対象となる手術など詳細は画像等手術支援加算についてご確認ください

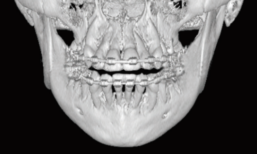
■事例①データ処理前

■事例①データ処理後

■事例②データ処理前

■事例②データ処理後
LCD光造形サンプル(例)



3Dプリンターお役立ちコラム
3Dプリンターのことならお任せください!

造形目的に合わせて、3Dプリンター本体からフィラメントまで、一貫して幅広く徹底サポートいたします。
また、受託・加工サービスとして、経験豊富な技術者が、お客様のご要望に合わせて柔軟に対応いたします。
どうぞお気軽にお問い合わせください。
03-3614-4100
メールフォームへ